世界一お尻のきれいな日本人、世界一お口の汚い日本人①
私は日本人は世界一お尻がきれいな民族である一方

世界一お口が汚い民族であると思っています。

「世界一お口が汚い」とは先進国でという注釈をつけときます。
これたぶん本当のことです。
お尻に関しては、実際に診察したわけではありません(笑)が、トイレの話。
数多く来日してくる外国人が、皆 口をそろえて驚くのがウォシュレット
携帯電話やテレビ、その他電化製品は、かつて世界トップを独占していた日本ですがいつのまにか他国に追い越されてしまいました。

しかし、このウォシュレット市場は、まさに日本の独壇場。
「まあ、日本人ってなんて素敵なの💛おしりまできれいなんて。日本人がきれい好きって本当だったのね!」
その性能はすばらしく、この分野では当分日本が断トツでしょうね。

外出してどこのトイレを借りても、ほぼウォシュレットつき。
たまーに、ウォシュレットが付いていなかったトイレを使ってしまうと、なんだかモサモサ感があり、かえって入浴するまで、歩き方がぎこちなくなってしまいます。
外国人の日本のイメージはきっと
「OH! ワタシ ニホンダイスキネ スシ ゲイシャ フジヤマ ウォシュレット💛」
そうきっと日本人のお尻は世界一きれいなのです。

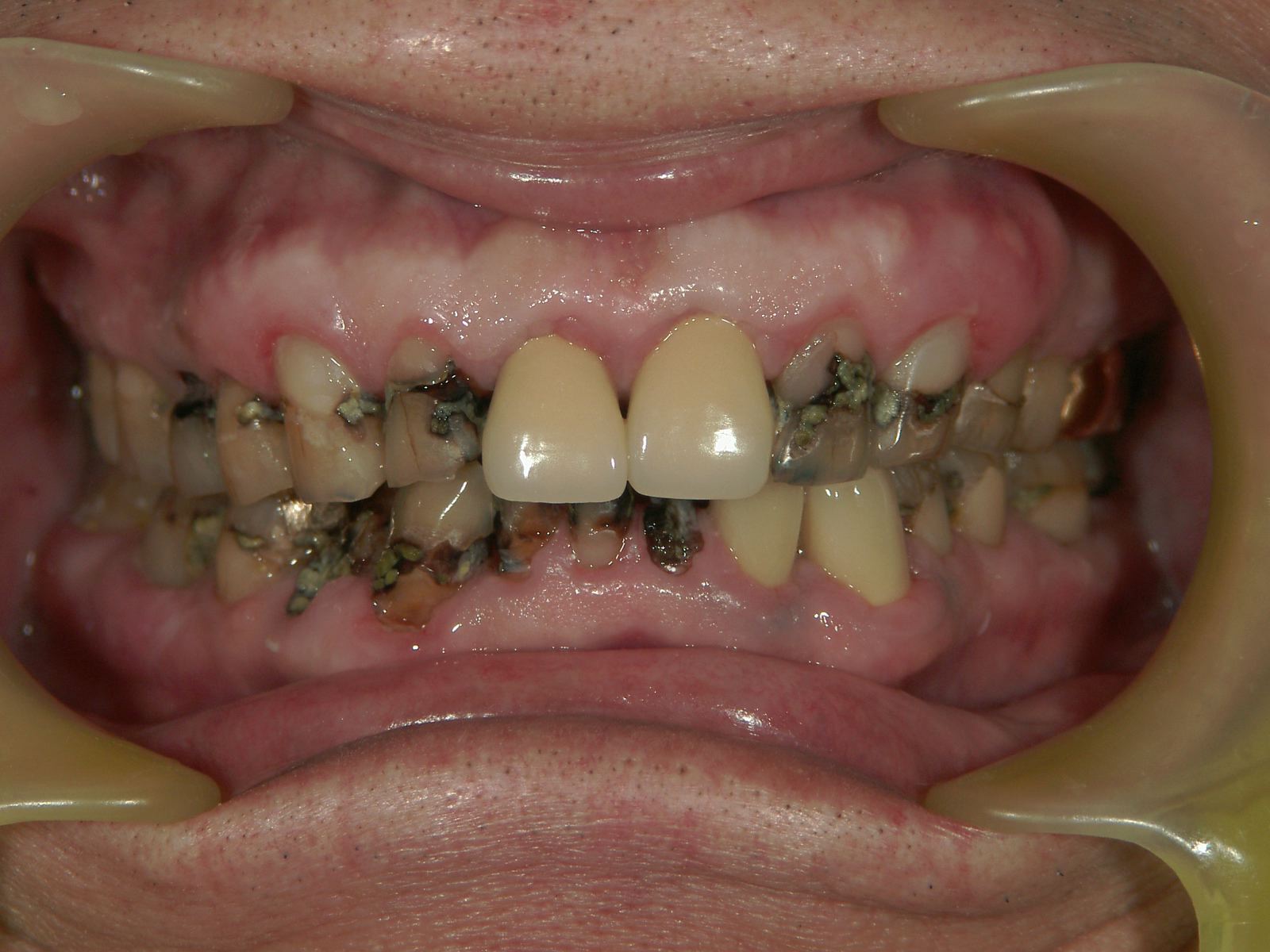
その一方、先進国の中でこれほど口の中の状態が悪い民族はないと思います。

日本人は、もっと歯や口の中に関心もたなければならないのです。国際社会でもし海外で活躍したいと考える方は特に・・・。
つづく
ブログを書きはじめて10年以上経ちました。プライベートな事や歯科治療・地域の話題など、書いた当時は一般的だった内容や表現が今では適切ではないものもございます。過去の記事をご覧になる際は予めご了承ください。